Clinical Psychiatry Open Access

  • ISSN: 2471-9854
  • Journal h-index: 10
  • Journal CiteScore: 2.5
  • Journal Impact Factor: 4.5
  • Average acceptance to publication time (5-7 days)
  • Average article processing time (30-45 days) Less than 5 volumes 30 days
    8 - 9 volumes 40 days
    10 and more volumes 45 days

Case Report - (2025) Volume 11, Issue 1

Late-Onset Mania in a Patient with Brain Tumor: Case Report
Julio Cesar Gutierrez-Segura*, Daniela Velasquez Lopez, Juan Pablo Abad Salazar, Yuli Meneses Meza, Tania Camila Munoz Obregon, Isabella Acevedo Zuluaga and Angela Maria Landazury
 
Department of Psychiatry, Technological University of Pereira, Pereira, Risaralda, Colombia
 
*Correspondence: Julio Cesar Gutierrez-Segura, Department of Psychiatry, Technological University of Pereira, Pereira, Risaralda, Colombia, Email:

Received: 17-Aug-2024, Manuscript No. IPCP-24-21200; Editor assigned: 20-Aug-2024, Pre QC No. IPCP-24-21200 (PQ); Reviewed: 03-Sep-2024, QC No. IPCP-24-21200; Revised: 17-Jan-2025, Manuscript No. IPCP-24-21200 (R); Published: 24-Jan-2025, DOI: 10.35248/2471-9854-11.1.59

Abstract

Secondary mania is characterized by the sudden onset of symptoms without a prior history of affective disorders, manifesting as elevated mood, irritability, and insomnia. Brain tumors are the eighth most common type of cancer in adults over 40 years of age, with gliomas being the most prevalent malignant histology, presenting with symptoms such as headache, seizures, and cognitive impairment. We present the case of a patient in her seventies who experienced progressive symptoms, including irritability, sleep disturbances, increased motor activity, and delusional as well as jealous delusions. Initially diagnosed with bipolar disorder and treated without improvement, her condition deteriorated with persistent headaches and worsening of symptoms. Upon initial evaluation at Hospital Universitario San Jorge, she exhibited aphasia and affective exaltation, and neuroimaging revealed a space-occupying lesion in the left temporal region. After neurosurgical evaluation, a probable diagnosis of glioblastoma was established, and she underwent surgery.

Keywords

Glioblastoma; Brain neoplasms, Mania; Neuropsychiatry; Case report

Introduction

Glioblastoma (GBM) is a highly aggressive malignant astrocytic brain tumor with a poor prognosis. Often classified as a grade IV glioma by the World Health Organization, GBM may arise de novo (primary) or progress from lower-grade gliomas (secondary). In recent decades, there has been an increase in the incidence of brain tumors, with GBM predominantly diagnosed in older individuals, with a median age at diagnosis of 64 years and an age-adjusted annual incidence of approximately 3 per 100,000 people, being more frequent in those over 55 years. This demographic shift has led to elderly patients representing nearly half of all GBM cases.

The symptoms of malignant brain tumors can vary and include headache, seizures, neurocognitive decline, and focal neurological deficits. The median progression-free survival is short, with a median of just over 6 months. Despite available treatments such as surgical resection, chemotherapy, and radiation, tumor recurrence is inevitable. Furthermore, up to 50% of patients with brain tumors experience psychiatric symptoms, with mania being an uncommon but relevant phenomenon, especially when there is involvement of the frontal brain structures.

Mania is a mood disorder characterized by high energy, elevated mood, irritability, insomnia, and pressured speech. Although it is generally associated with bipolar and schizoaffective disorders, it can also be triggered by nonpsychiatric conditions such as brain tumors. The clinical presentation of mania in the context of brain tumors is uncommon, but when it occurs, it is generally associated with right frontal dysfunction.

The diagnosis of psychiatric symptoms secondary to brain tumors can be challenging due to their rarity, the variety of signs, and vague symptomatology. However, early diagnosis is crucial to facilitate appropriate treatment and improve patient quality of life. In this paper, we further explore the relationship between brain tumors and the presentation of psychiatric symptoms, focusing on mania as an uncommon but relevant clinical manifestation.

Case Presentation

A woman in her seventh decade of life, from a rural area, married, with six children, living with her husband. She has been involved in domestic and agricultural activities, reporting that she has always been energetic, cooperative, and diligent, consistently attending to her tasks on her farm. She is a former smoker and presented two years ago at the age of 68 with behavioral changes that were initially managed as affective disorders, but the treatment was non-adherent and self-limited. Four months prior to the current hospitalization, she exhibited irritability, decreased sleep, increased motor activity, and delusional grandiosity and jealousy. Initially diagnosed with bipolar disorder and treated without improvement, her condition worsened with persistent headaches and exacerbation of symptoms. She was admitted to the emergency department accompanied by her daughter. Upon admission, she was found to be conscious but globally disoriented, with irrelevant and tangential speech, loose associations in language, intermittent eye contact with the interviewer, evident memory deficits, no sensoryperceptual disturbances, illogical and concrete thinking, ideational poverty, perplexed affect, hipoprosexia, constructional apraxia, and impaired introspection, prospection, and judgment. Cranial nerve examination was unremarkable [1-4].

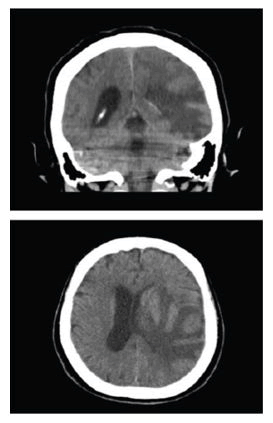
Extended studies, including neuroimaging, were ordered. A non-contrast cranial CT scan described a mass under study with left frontoparietal hypodensity, perilesional edema, and midline shift, suggesting a primary CNS lesion, probable GBM. An MRI with contrast was requested, which revealed a heterogeneous nodular lesion predominantly hyperintense on T2 and FLAIR sequences and hypointense on T1, with ring enhancement after intravenous contrast administration and hemosiderin signs on susceptibility-weighted imaging. The lesion measured approximately 41.7 × 40 × 36.5 mm (AP × T × L), associated with diffuse adjacent vasogenic edema, mass effect, and obliteration of the subarachnoid spaces. There was partial obliteration of the left lateral ventricle and approximately 8 mm midline shift to the right. Hyperintense images on T2 and FLAIR sequences were also observed in the periventricular and subcortical white matter of the bilateral frontal and parietal lobes, related to chronic microangiopathies. The conclusions were: (1) Left temporal space-occupying lesion, suggestive of high-grade glioma (glioblastoma multiforme); (2) Extensive vasogenic edema and local mass effect with subfalcine herniation. Neurosurgery considered that the patient required a left temporal tumor resection guided by neuro-navigation (Figure 1).

XXXXXXXX

Figure 1: Cranial CT scan.

The patient remained in the intermediate care unit for 6 days in fair general condition, conscious, disoriented, with impaired judgment and reasoning, logorrhea, afebrile, without signs of systemic inflammatory response, awaiting scheduled surgical management. Supratentorial hemispheric tumor resection was performed through an osteoplastic craniotomy and temporal lobectomy of approximately 5 cm behind the temporal pole, oblique from T1 to T4, preserving the parahippocampal gyrus [5-7]. An intra-axial tumor lesion was found in the temporal lobe, friable and vascularized, which was resected within the lobectomy margins. Dural closure was achieved with a pericranial graft. Postoperatively, the patient persisted in the ICU with global disorientation, incoherent, fluent speech, and sensory aphasia (Figure 2).

XXXXXXXX

Figure 2: Brain MRI with contrast.

Psychiatric consultation found her postoperatively calm, with preserved biological patterns, without episodes of psychomotor agitation, and perplexed affect without exaltation. She continued quetiapine and valproic acid. Neurosurgery discharged her; she attended follow-up 2 months after intraaxial left temporal tumor resection, with the histopathological diagnosis of high-grade glioma (grade IV). Her daughter reported good neurological recovery, although the patient mentioned memory lapses. She continues prednisolone, valproate, and quetiapine.

Results and Discussion

The incidence of brain tumors, such as Glioblastoma (GBM), has increased among older segments of the population. Today, GBM is primarily diagnosed at more advanced ages, with a median diagnostic age of 64 years. Approximately 49% of malignant brain tumors are glioblastomas, and 30% are diffusely infiltrating lower-grade gliomas. Other malignant brain tumors include primary Central Nervous System (CNS) lymphoma (7%) and malignant forms of ependymomas (3%) and meningiomas (2%). Symptoms of malignant brain tumors include headache (50%), seizures (20%-50%), neurocognitive decline (30%-40%), and focal neurological deficits (10%-40%). The median progression-free survival is just over 6 months. Magnetic resonance imaging before and after administering a gadolinium-based contrast agent is the preferred imaging modality for evaluating brain tumors. Diagnosis requires a tumor biopsy considering histopathological and molecular characteristics, and treatment with surgical resection, chemotherapy, and radiation is invariably followed by tumor recurrence. Aggressive surgical resection reduces the tumor cell burden by 99%, leaving about 100 million cells [8].

Up to 50% of patients with brain tumors experience psychiatric symptoms, with rates as high as 80% reported in malignancies like glioblastoma multiforme. Nevertheless, clinical presentation as mania-like syndromes is uncommon and primarily occurs when frontal structures are involved.

Manic symptoms in the context of brain tumors appear in 7%-15% of patients with psychiatric symptoms, generally associated with right frontal dysfunction (75% of cases). Bifrontal involvement is described in only 6% of cases. Although rapidly growing malignant tumors have been associated with higher rates of psychiatric symptoms, no correlation between these and the histology of the brain tumor has been described.

Mania is a mood disorder characteristic of certain psychiatric conditions and is exhibited by high energy, elevated mood, irritability, insomnia, and pressured speech. Although commonly attributed to bipolar and schizoaffective disorders, mania can be precipitated by other non-psychiatric conditions, including substance abuse, medications, metabolic disorders, and organic brain pathologies. Steroid-induced mania is not uncommon and can present with a range of psychiatric symptoms. Brain tumors presenting with predominantly psychiatric symptoms are a relatively uncommon cause of mania and may persist or remit with treatment.

The management of secondary mania due to brain tumors involves a multidisciplinary approach that includes treating psychiatric symptoms and addressing the underlying brain tumor. In this case, the patient responded favorably to quetiapine, suggesting a potential benefit of antipsychotic medications in controlling manic symptoms associated with brain tumors.

Onset of mania: It is well recognized that most patients with manic states will experience their first episode during adolescence and before the fifth decade of life; there appear to be two main incidence peaks, one between the ages of 15 and 19, and the second, longer peak between 20 and 30 years of age. The median onset age is 18 years, according to an epidemiological study by the National Institutes of Health of the United States. Most patients with mania will be diagnosed with bipolar disorder, and 90% of patients with this diagnosis will have manifest clinical symptoms before the age of 50.

Late-onset mania: Neurological entities proposed as possible etiological substrates include neurodegenerative diseases, particularly the behavioral variant of frontotemporal dementia and stroke. The pathophysiology of late-onset manic states is an ongoing research topic. These patients frequently show hyper intense white matter images on Magnetic Resonance Imaging (MRI) when T2 and FLAIR sequences are observed. It is unclear whether these images correspond to age-related changes, small vessel vascular lesions, or other processes (inflammatory or degenerative). Few neuroimaging studies have been conducted in patients with late-onset mania.

A study conducted in Brazil compared 10 patients with lateonset bipolar disorder, 49 patients with early-onset bipolar disorder, and 24 control subjects. Late-onset patients showed a greater number of deep white matter lesions in the parietal lobe and basal ganglia compared to the other groups, supporting the hypothesis that the onset of manic syndrome is facilitated by structural and functional disconnection of the cortical-subcortical circuits. Disconnection of these circuits predicts neuropsychological disorders, although few neuropsychological studies have been conducted in adults with late-onset mania. Generally, deficits in processing speed, verbal memory, and executive functions have been found, which correlate with global functioning, especially in instrumental activities of daily living.

Brain tumors as a primary cause of psychiatric symptoms are an infrequent occurrence. The rarity of this condition, the incidence of the disease process, vague symptomatology, and the variety of signs pointing to several causative factors contribute to diagnostic challenges. Diagnosing psychiatric symptoms secondary to brain tumors begins with clinical suspicion. Early diagnosis is crucial for additional treatment and improved quality of life.

Effective and timely treatment of late-onset mania in adult patients should focus significantly on the underlying cause, as this is essential for improving patient quality of life and functionality. For psychiatric disorders, pharmacotherapy with mood stabilizers, antipsychotics, and antidepressants may be necessary, along with psychological therapy and social support. For neurological diseases, treatment varies depending on the underlying pathology and may include tests such as magnetic resonance imaging, tumor biopsies, chemotherapy, radiation, surgical resection, and, in cases where these are not the issue, pharmacological and nonpharmacological options such as occupational therapy and rehabilitation.

The differential diagnosis of late-onset mania in adults involves considering a wide range of pathologies, which may be both psychiatric and neurological. Among psychiatric conditions, bipolar disorder remains one of the primary etiologies, along with substance-induced mood disorders, delusional disorders, personality disorders, and major neurocognitive disorders such as Alzheimer's disease and frontotemporal dementia. From a neurological perspective, frontotemporal dementia and stroke must be considered when evaluating late-onset mania.

It is unclear why a particular patient with a left frontal meningioma might remain asymptomatic, present with psychotic symptoms, or other types of psychiatric manifestations. However, perilesional edema, the mass effect caused by the tumor, or disruption of corticothalamic pathways are believed to be implicated in this manifestation.

Regarding associated symptomatology, psychotic symptoms in the presence of brain tumors would not have localizing value for the lesion in specific neuroanatomical regions.

Conclusion

A case of clinical (neurosurgery and consultant-liaison psychiatry) and academic importance is reported. It is recommended that these topics be optimally addressed in the training programs for general practitioners and specialists, particularly concerning neuropsychiatric presentations of neurosurgical conditions. Additionally, it is crucial to investigate non-psychiatric causes of mental disorders.

Cerebral glioblastoma multiform is a rare tumor whose biological behavior tends to differ from those located in the supratentorial compartment. There is no available information that relates tumor size to the severity of symptoms.

When investigating a brain tumor, there is a greater likelihood of achieving an early diagnosis and timely neurosurgical treatment, in conjunction with a neuropsychiatric evaluation.

Funding

Self-funded.

Bioethical Implications

The authors declare that:

• Written informed consent was obtained for the publication of the patient's clinical data mentioned in this report.
• All possible measures were taken to safeguard the patient's identity.
• This publication complies with national regulations on human research and the Bioethics Committee of the Technological University of Pereira.

Conflict of Interest

To the patient and her family. To the Universidad Tecnológica de Pereira y Hospital Universitario San Jorge. Pereira, (CO).

References

Citation: Segura JCG, Lopez DV, Salazar JPA, Meza YM, Obregon TCM, et al. (2025) Late-Onset Mania in a Patient with Brain Tumor: Case Report. Clin Psychiatry. 11.58.

Copyright: © 2025 Segura JCG, et al. This is an open-access article distributed under the terms of the Creative Commons Attribution License, which permits unrestricted use, distribution, and reproduction in any medium, provided the original author and source are credited.