Journal of Health Care Communications Open Access

  • ISSN: 2472-1654
  • Journal h-index: 17
  • Journal CiteScore: 6.77
  • Journal Impact Factor: 7.34
  • Average acceptance to publication time (5-7 days)
  • Average article processing time (30-45 days) Less than 5 volumes 30 days
    8 - 9 volumes 40 days
    10 and more volumes 45 days

Research Article - (2023) Volume 8, Issue 1

Cyto Histopathological Correlation of Soft Tissue Tumors
Fathima Nifra M Mohamed Nizar*
 
Department of Health Care Communications, University of Delhi, Delhi, India
 
*Correspondence: Fathima Nifra M Mohamed Nizar, Department of Health Care Communications, University of Delhi, Delhi, India, Email:

Received: 02-May-2022, Manuscript No. IPJHCC-22-12456; Editor assigned: 05-May-2022, Pre QC No. IPJHCC-22-12456 (PQ); Reviewed: 19-May-2022, QC No. IPJHCC-22-12456; Revised: 23-Jan-2023, Manuscript No. IPJHCC-22-12456 (R); Published: 30-Jan-2023, DOI: 10.36846/ 2472-1654-8.1.8002

Abstract

Soft tissue can be defined as non-epithelial extra skeletal tissue of the body, exclusive of the reticuloendothelial system, glia and supporting tissue of various parenchymal organs. This was a prospective study undertaken at the department of pathology, Balaji medical college and hospital, chrome pet. A total number of 105 cases clinically suspected as soft tissue tumour were subjected to FNAC and compared with histopathology. A total number of 105 cases clinically suspected as soft tissue tumours were subjected to FNAC and compared with histopathology. In this study the age of the patients ranged from 4 to 80 years.

Keywords

Histopathological; Aspiration cytology; Anatomical; Skeletal tissue; Parenchymal organs

INTRODUCTION

Soft tissue can be defined as non-epithelial extra skeletal tissue of the body, exclusive of the reticuloendothelial system, glia and supporting tissue of various parenchymal organs. The diagnostic role of Fine Needle Aspiration Cytology (FNAC) in evaluating soft tissue tumour remains controversial as many of these lesions, especially the sarcomas have overlapping histopathological and cytomorphologic features associated with morphologic heterogeneity present in some of these mass lesions FNAC is a useful tool in distinguishing accurately between neoplastic and non-neoplastic lesions [1,2]. The two fundamental requirements on which the success of FNAC depends are representativeness and adequacy of sample and high quality of preparation [3]. FNAC is a painless procedure, easy to perform, safe, and cost effective, which does not require anesthesia, and acts as a useful diagnostic technique in the initial diagnosis of tumour [4]. It produces a speedy result. It can be easily repeated if necessary in the same sitting. Unfortunately FNAC has a few disadvantages, especially in identifying borderline lesions. Aspirates from densely collagenase or sclerotic masses or highly vascular lesions, provide sparse cellularity [5,6]. Hence there is absolute necessity to integrate surgeon, radiologist and pathologists opinion. This study aims to study the utility of Fine Needle Aspiration Cytology (FNAC) in the diagnosis of soft tissue tumour and to correlate FNAC with histopathological examination [7-10].

Materials and Methods

This was a prospective study undertaken at the department of pathology, Balaji medical college and hospital, chromepet. A total number of 105 cases clinically suspected as soft tissue tumour were subjected to FNAC and compared with histopathology. After taking the history and evaluating the patient clinically, they were subjected to FNAC and later biopsy, taking the consent of the patient. Descriptive statistics were reported as mean (SD) for continuous variables, frequencies (percentage) for categorical variables. Data were statistically evaluated with IBM SPSS statistics for windows, version 20.0., IBM corp., and Chicago, IL.

Results

A total number of 105 cases clinically suspected as soft tissue tumours were subjected to FNAC and compared with histopathology. In this study the age of the patients ranged from 4 to 80 years, the youngest patient being 4 years old and the oldest 80 year old. The maximum number of cases was found in the fourth decade followed by third decade. Male: Female ratio was 1:1.1. Soft tissue masses were found most commonly in the lower extremities followed by upper extremities, trunk, head and neck and retro peritoneum (Table 1 and 2).

Slno Variable Frequency Percentage
1 Age ( in years )
0-10 2 1.9
11-20 12 11.4
21-30 21 20
31-40 22 20.9
41-50 26 24.8
51-60 15 14.3
61-70 4 3.8
71-80 3 2.9
2 Anatomical  distribution
Head and neck 17 16.2
Upper extremity 28 26.7
Lower extremity 33 31.4
Trunk 22 20.9
Peritoneum 5 4.8
3 Diagnosis of soft tissue tumours on FNAC
Benign 88 83.8
Malignant 17 16.2

Table 1: Distribution of variables among the study participants (N=105).

Slno Variable Frequency Frequency (%)
1 Myxoid 2 Myxoid malignant fibrous histiocytoma 2 1.9
2 Spindle cell 56 Benign spindle cell 9 53.3
Neoplasm  -   -
Benign fibrous histiocytoma 1   -
Benign nerve sheath 17   -
Tumor   -   -
Haemangioma 11   -
Giant cell tumor of tendon sheath   -   -
Benign mesenchymal   -   -
tumor   -    -
Spindle cell sarcoma   -   -
MPNST   -   -
Malignant fibrous histiocytoma   -   -
Dermatofibrosarcoma   -  - 
protuberance   -   -
3 Pleomorphic 2 Pleomorphic lipoma 1 1.9
Pleomorphic malignant fibrous histiocytoma 1   -
4 Round cell 1 PNET 1 1.9
5 Miscellaneous 44 Lipoma 44 41.9

Table 2: Cytologic diagnosis of so t tissue tumors, grouped according to their appearance ine needle aspiration in (N=105).

The spindle cell tumours were the most common tumours constituting 53.3% of cases followed by miscellaneous tumours chiefly of lipomas constituting of 41.9 % of the cases (Table 3).

Slno Diagnosis Number of cases Percentage (%)
1 Lipoma 38 36.1
2 Fibrolipoma 2 1.9
3 Pleomorphic lipoma 1 1
4 Angiofibrolipoma 1 1
5 Angiomyolipoma 1 1
6 Angiolipoma 1 1
  Lipoma variants in total 44  
7 Giant cell tumour of tendon sheath 4 3.8
8 Neurofibroma 4 3.8
9 Schwannoma 13 12.3
10 Hemangioma 12 11.4
11 Fibromatosis 4 3.8
12 Desmoid fibromatosis 2 1.9
13 Benign fibrous histiocytoma 3 2.8
14 Primitive neuroectodermal tumour 1 1
15 Pleomorphic malignantfibrous histiocytoma 1 1
16 Synovial sarcoma 1 1
17 Dermatofibrosarcoma protuberance 1 1
18 Bednar tumour 2 1.9
19 Hemangioendothelioma 1 1
20 Malignant fibrous histiocytoma 3 2.8
21 Myxoid MFH 2 1.9
22 Malignant peripheral nerve sheath tumour 7 6.6

Table 3: Analysis of lesions on histopathology (N=105).

Discussion

The age range in the present study was 4 to 80 years which was comparable to where the range was between 4 years to 94 years. Where the range was 12 years to 88 years. The male to female ratio was 1:1. The soft tissue neoplasm was most commonly seen in the fourth decade followed by the third decade. Present study showed most common site of tumors were lower limb and upper limb which was consistent with also found lower extremity as the most common site followed by upper extremity [11-17]. While in study trunk was the most common site. In the present study we have used the classification recommended by dividing the aspirates into six categories and (Table 4).

Study Categories
1 2 3 4 5 6
Miralles, et al. Low grade sarcoma Myxoid sarcomas Monomo rphic sarcomas Round cell sarcomas Pleomorp hic sarcomas --
Gonzalez Campor R, et al. Myxoid Round cell Spindle cell Pleomorphic cell Polygonal cell Well differentiated
Umarani, et al. Myxoid rich Round cell Spindle cell Pleomorphic Epithelial  -like Mature like cell
Geisinger and Abdul-Karim Myxoid Spindle cell Pleomorphic Polygonal Round cell Miscellaneous

Table 4: Various cytomorphological classifications proposed by different authors.

We had two cases of myxoid tumour in our study. Smears of amyloid tumour studied showed high cellularity showing two populations of cells consisting of spindle cells and round to polygonal cells arranged in loose clusters and in singles. The nuclei showed hyperchromasia with pleomorphic. The presence of foamy histolytic and scattered bizarre multinucleated giant cells was typical of the tumour. Grossly showed a well circumscribed tumour with multilobulation and myxoid degeneration. Histopathology sections studied showed a neoplasm composed of elongated cells and giant cells with dark staining nuclei arranged in interlacing bundles and fascicles in an abundant myxoid background. Tumour giant cell, thin walled blood vessels, focal areas of hyalinization and occasional mitotic figures were seen (Figures 1 and 2).

health-tumour

Figure 1: a) Gross image showing cut section of the tumour with myxoid degeneration; b) Cytology image of myxoid MFH (H and E 10 x 10).

health-myxoid

Figure 2: Myxoid MFH H and E (10 x 40) showing a neoplasm composed of elongated cells and giant cells with dark staining nuclei arranged in interlacing bundles and fascicles in an abundant myxoid background.

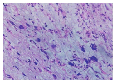
Fifty three cases of spindle cell tumours were studied, out of which 43 were diagnosed as benign tumours and 10 as malignant spindle cell tumours on cytology. Seventeen cases of benign neural tumour were diagnosed on FNAC. Fifteen cases of benign neural tumour were diagnosed correctly on cytology consisting of 3 cases of neurofibroma and 13 cases of schwannoma. One case was discordant which was diagnosed as MPNST on HPE. Smears studied showed low to moderate cellularity with cells lying in tight cohesive clusters and bundles. The predominant cell type was spindle cells. The nuclei were spindle to ovoid with few being wavy or bent, having a bland chromatin pattern. Background showed a distinct eosinophilia fibrillary stroma. Sections studied showed a benign neoplasm composed of spindle cells with wavy nuclei in fascicles surrounded by fibro collagenous tissue with areas of myxoid changes (Figure 3).

health-spindle

Figure 3: Neurofibroma: spindle cells with characteristic wavy nuclei with sort fusiform nuclei (H and E 10 x 40).

Thirteen cases of schwannoma were correctly diagnosed on FNAC. Smears studied showed moderate to high cellularity with spindle cells being arranged in cohesive clusters, interlacing bundles. The nuclei were wavy with few being ovoid to fusiform. Multiple sections studied showed a capsulated tumour with spindle cells arranged in interlacing bundles and fascicles. The spindle cells had vesicular nuclei with nuclear palisading. Antoni A and antoni B areas with areas of hyalinization and cystic degeneration were seen (Figure 4). Two cases of ancient schwannoma showed degenerative features.

health-ancient

Figure 4: Ancient schwannoma. Spindle shaped cells with elongated nuclei in a fibrillary background, nuclear palisading, verrucay bodies are also seen H and E (10 x 10).

Out of 9 cases diagnosed as benign spindle cell tumour on cytology, only 7 cases were correlated remaining two were discordant. Two cases were of malignant or borderline category with one as dermatofibrosarcoma protuberant and one as haemangioendothelioma, on histopathology. Malignant spindle cell tumours of neural origin (MPNST), around 7 cases were diagnosed on HPE. One case showed incorrect diagnosis which was diagnosed as benign nerve sheath tumour on FNAC. Aspirates were moderately to highly cellular consisting of tumour cells arranged in interlacing fascicles, clusters and singles. Individual tumour cells had eosinophilia, fibrillary cytoplasm with nuclear shape being varied i.e. ovoid, wavy, fusiform and spindle. Chromatin pattern was vesicular to hyperchromaticwith nuclear pleomorphic. One case showed mitotic figures and multinucleated giant cells. Sections studied show a cellular neoplasm composed of spindle shaped cells with elongated, wavy and fusiform nuclei with prominent nucleoli, arranged in whorls, fascicles, and interlacing bundles. Focal cartilaginous metaplasia, epithelioid cells and occasional mitotic figures were also seen (Figure 5).

health-mpnst

Figure 5: MPNST fascicles and bundles of spindle shaped cells in a fibrillary background H and E (10 x 10).

Twelve cases of vascular tumours were diagnosed accurately on cytology and confirmed by histopathology. Eight cases were of haemangioma and four cases of cavernous haemangioma one case of haemangioendothelioma were diagnosed as benign spindle cell tumour on cytology. The smears of haemangioma studied showed low to moderate cellularity. The spindle cells were arranged in fragments, clusters and singles. The spindle cells had ovoid to spindle shaped nuclei showing bland chromatin pattern with bipolar eosinophilia cytoplasm. Background was bloody. In one case of intramuscular cavernous haemangioma only blood was aspirated on repeated FNAC. Histopathology sections studied showed large, open vascular spaces separated by fibrous tissue septate in a case of cavernous haemangioma.

Haemangioendothelioma histopathology sections studied showed a vascular lesion composed of proliferating endothelial lined spaces and capillaries. The tumour cells were seen infiltrating skeletal muscles and widely separating it. Cells were round to oval with scanty cytoplasm and hyper chromatic nuclei, showing mild pleomorphic. Few mitotic figures and occasional tumour giant cells were seen (Figure 6).

health-tumor

Figure 6: Haemangioendothelioma: Tumor cells lining tiny vascular like spaces. Tissue section (H and E, 10 x 40).

The desmoids tumour was over diagnosed as malignant fibrous histiocytoma. One case diagnosed as MFH had spindle cells admixed with polygonal cells having abundant eosinophilia cytoplasm. Nuclei showed mild pleomorphic with finely dispersed chromatin and prominent nucleoli. Few mitotic figures were seen. Sections studied showed a spindle cell neoplasm composed of elongated cells with vesicular nucleus arranged in interlacing bundles and fascicles in a fibro collagenous background thin walled blood vessels, focal myxoid changes, cartilaginous metaplasia and occasional mononuclear cells were seen in the stroma. The interlacing bundles of spindle cells were seen with entrapped muscle fibers. One case of benign fibrous histiocytoma was diagnosed accurately on cytology whereas two cases were diagnosed as benign spindle cell tumor. Out of 4 cases of malignant fibrous histiocytoma, 3 were accurately diagnosed on cytology. One case was inaccurately diagnosed, which was confirmed as fibromatosis on histopathology. One case in our study, which was inaccurately diagnosed, showed a low cellularity with cell clusters consisting of spindle cells with ovoid, bland nuclei. Histiocyte like cells which aids in the diagnosis, were not seen. So a diagnosis of only a benign spindle cell tumour was possible. Sections studied showed a tumour arranged in short fascicles. Malignant fibrous histiocytoma Cytology Smears studied were highly cellular showing two populations of cells consisting of spindle cells and round to polygonal cells. The cells were arranged in scattered loose clusters and in singles. The spindle cells had spindle nucleus with bipolar eosinophilia cytoplasm. The nuclei showed hyper chromatic or coarse chromatin with moderate to marked pleomorphic. Multinucleated giant cells were seen in all the cases of MFH. The presence of foamy histiocyte like cells and population of cells with multinucleated giant cells were typical of the tumour. Cut section showed yellowish white circumscribed tumour with focal areas of hemorrhage. Sections studied showed a cellular neoplasm composed of spindle tumour cells arranged in interlacing bundles, sheets and focal storiform pattern. The spindle cells showed nuclear pleomorphic. Good number of tumour giant cells and mitotic figures were noted, along with areas of myxoid change and necrosis. One case of Dermatofibrosarcoma protuberant was incorrectly diagnosed as benign spindle cell tumour on cytology. On cytology showed a moderately cellular aspirate with cells arranged in clusters and singles. The cells were spindle to oval in shape, with oval nuclei showing mild pleomorphic. Chromatin pattern was bland and nucleoli were seen in many. Cells had indistinct borders with eosinophilia cytoplasm. Background showed few myxoid stromal fragments. Gross showed two nodular grey-pink masses protruding above the skin. Cutsection showed a fleshy grey-white, soft tumour. Sections studied showed a tumour in the sub epithelium arranged in storiform pattern. The tumour cells were spindle shaped having scanty cytoplasm and a spindle shaped nuclei with inconspicuous nucleoli. Few mitotic figures seen. Seven cases of spindle cell sarcoma were diagnosed on FNAC and the same was diagnosed on HPE. Two cases of Bednar tumour, 2 cases of MPNST, 2 cases MFH, and one case of synovial sarcoma. Gross- cut section showed hemorrhagic areas. Sections studied showed skin overlyingfibrocollagenous dermis enclosing a spindle cell lesion composed of elongated cells with pleomorphic nuclei. Focal storiform pattern was also seen. Synovial sarcoma (biphasic type) histopathology sections studied showed an eoplasm composed of spindle shaped cells with elongated dark staining nuclei arranged in interlacing bundles and fascicles admixed with nests of round to oval cells with vesicular nuclei. Focal areas of hemorrhage, necrosis, and myxoid degeneration were also seen. Pleomorphic tumours-pleomorphic lipoma on cytology showed floret like giant cells and spindle cells. Sections studied showed mixture of fat cells, floret like giant cells and ropy collagen. Pleomorphic tumour cells in loose aggregates with bizarre tumour giant cells were seen. Gross: Cut section showed whitish, hemorrhagic, yellowish brown and areas of necrosis. Sections studied showed a cellular neoplasm composed of pleomorphic spindle cells with hyper chromatic nuclei arranged in interlacing bundles, fascicles and focal storiform pattern. Pleomorphic tumour giant cells, multinucleated cells, bizarre giant nuclei and mitotic figures were seen (Figure 7).

health-mfh

Figure 7: Pleomorphic MFH: Cellular spindle cell neoplasm composed of pleomorphic spindle cells arranged in fascicles with pleomorphic tumour giant cells. H and E (10 x 10).

Forty four cases of Lipoma were diagnosed by cytology and forty four were confirmed by histopathology as lipoma. Most cases showed a moderately cellular aspirate with mature fat cells being arranged in small clusters. Significant amount of collagen fragments and small clusters of fibrocystic were seen in one case. A case of intramuscular lipoma showed skeletal muscle fibers with adipose tissue. On cut section, characteristically a grey-yellow tumour mass was seen replacing the skeletal muscle fibers. Sections studied showed well circumscribed tumour arranged in lobular pattern separated by thin connective tissue stroma and few capillaries. The tumour was made up of mature fat cells. One case showed bundles of hyalinized collagen fibers mixed with mature fat cells and was diagnosed as fibro lipoma. One case of angiomyolipoma showed lobules of mature fat with thick walled blood vessels and bundles of smooth muscle.

Conclusion

Aspiration cytopathology of soft tissue mass lesions using FNAC can be a cost effective, accurate, minimally invasive and a swift preliminary diagnostic procedure. It can provide initial pathologic diagnosis of primary benign and malignant soft tissue tumors. Hence FNAC provides reliable information to the clinicians for triage of the patients and enable them to consider management decisions at the earliest.

References

Citation: Nizar FNMM (2022) Cyto Histopathological Correlation of Soft Tissue Tumors. J Healthc Commun. 8:8002

Copyright: © 2023 Nizar FNMM. This is an open-access article distributed under the terms of the Creative Commons Attribution License, which permits unrestricted use, distribution, and reproduction in any medium, provided the original author and source are credited.