Case Report - (2023) Volume 8, Issue 1
Received: 02-Jan-2023, Manuscript No. IPJNO-22-15480; Editor assigned: 04-Jan-2023, Pre QC No. IPJNO-22-15480 (PQ); Reviewed: 18-Jan-2023, QC No. IPJNO-22-15480; Revised: 23-Jan-2023, Manuscript No. IPJNO-22-15480 (R); Published: 30-Jan-2023, DOI: 10.21767/2572-0376.23.8.001
We report a case of a 42 year old Filipino female teacher right handed with atypical meningioma and concomitant chronic subdural hematoma who presented with persistent headache associated with nausea, vomiting and sensitivity to light and loud noise. With a positive family history of migraine, no previous history of trauma, and unremarkable past medical history, patient was initially treated as a case of migraine type headache and was given Topiramate, Hydroxyzine, Flunnarizine and Metoclopramide, which did not provide relief of symptoms. Cranial MRI with gadolinium contrast showed a right parietal convexity extra axial mass with concomittant right frontotemporoparietal chronic subdural hematoma. Histopathologic examination revealed Atypical Meningioma WHO Grade II, positive for vimentin and EMA immunohistochemical staining. The mainstay treatment still for Atypical Meningioma with chronic subdural hematoma is evacuation of the hematoma followed by gross total resection of the said extra axial mass and adjuvant radiation therapy. Benign tumors such as meningioma rarely present with tumor related hemorrhages, but as seen from this case, subdural hematoma formation whether acute or chronic is a possibility.
Meningioma; Subdural hematoma; Intracranial hemorrhage; Headache
Meningioma, a well encapsulated, benign tumor, is the second most common primary intracranial mass lesion accounting to 33.8% of all cases [1,2]. It has a female preponderance with increasing incidence with age. According to a population based study from Germany, the 10 year overall survival rate ranges from 72%-91% with cumulative incidence recurrence of 9% [3]. Majority of them present with headache, followed by seizures, ranging from 25%-40% [3-5]. Despite its innately high vascularity, they rarely present with intracranial hemorrhage, unlike other tumors such as metastases and high-grade gliomas [6]. The reported incidence of hemorrhagic meningioma is 0.5%- 2.4% [7,8]. This scenario is more commonly seen in post-embolization or as part of complication of radiotherapy, namely, radiation necrosis. The subarachnoid space is the most common site of hemorrhage, followed by the intracerebral and intratumoral regions [9,10]. On the other hand, the occurrence of spontaneous subdural hematoma whether acute or chronic type is very rare.
The occurrence of bleeding from a meningioma is said to be an interplay of several pathogenetic mechanisms such as the following:
• Enlarging mass impinging on dural sinuses leading to venous hypertension
• Rupture of distended, fragile, thinned walled abnormal tumoral vessels brought about by tumoral growth [1,9].
• Stretching of subdural bridging veins secondary to tumoral expansion [1,6,11].
• Direct tumoral invasion with concomitant expression of vascular endothelial growth factor by tumor cells especially the malignant types [1,6,9-11].
• Formation of capsule like dura similar to the outer neomembrane of chronic subdural hematoma invaded by meningioma cells exuding hematoma expansion into the subdural space [11].
• Release of vaso-active and fibrinolytic substances from mast cells causing neovascularization and necrosis, respectively, with subsequent blood vessel wall rupture [1,6,11- 13].
Based on the data available from the period of 2011 to 2020 from the section of Neurological Surgery at the University of Santo Tomas Hospital, only 0.05% (1 out of 208) of patients with definitive diagnosis of meningioma had associated non-traumatic subdural hematoma, signifying the rarity of such case. At present, only 20 reported cases of chronic subdural hematoma associated with meningioma have been reported in the literature studies [9] (Table 1).
| No. | Author | Year | Sex | Age | CSDH | Meningioma | |||
|---|---|---|---|---|---|---|---|---|---|
| Side | Side | Location | Histology | Outcome | |||||
| 1 | Cusick and Bailey | 1972 | F | 47 | Bilateral | Right | Convexity | Transitional | Dead |
| 2 | Modesti, et al. | 1976 | F | 49 | Left | Left | Parasagittal | Meningothelial | SD |
| M | 69 | Left | Left | Convexity | Meningothelial | GR | |||
| 3 | Walsh, et al. | 1977 | F | 77 | Right | Right | Olfactory groove | Meningothelial | Dead |
| 4 | Sakai, et al. | 1981 | M | 36 | Right | Right | Sphenoid ridge | Meningothelial | Dead |
| 5 | Baskinis, et al. | 1984 | M | 68 | Right | Right | Convexity | Angiomatous | GR |
| 6 | Tomita, et al. | 1985 | F | 61 | Right | Right | Convexity | Meningothelial | GR |
| 7 | Wang, et al. | 1985 | F | 62 | Left | Left | Convexity | n/a | n/a |
| 8 | Itoyama, et al. | 1987 | F | 63 | Bilateral | Left | Sphenoid ridge | Transitional | GR |
| 9 | Chen, et al. | 1992 | M | 19 | Left | Left | Convexity | Meningothelial | MD |
| 10 | Pozzi, et al. | 1993 | F | 73 | Left | Left | Convexity | Transitional | n/a |
| F | 85 | Left | Left | Convexity | n/a | n/a | |||
| 11 | Popovic, et al. | 1994 | F | 47 | Right | Right | Convexity | Meningothelial | n/a |
| 12 | Tanaka, et al. | 1994 | F | 47 | Right | Right | Convexity | Meningothelial | GR |
| 13 | Sinha and Dharker | 2001 | M | 68 | Left | Right | Convexity | n/a | GR |
| F | 70 | Left | Right | Convexity | n/a | GR | |||
| 14 | Di Rocco, et al. | 2006 | M | 72 | Right | Right | Convexity | Meningothelial | GR |
| M | 74 | Left | Left | Convexity | Transitional | GR | |||
| 15 | Czyz, et al. | 2011 | F | 69 | Bilateral | Bilateral | Parasagittal | n/a | GR |
| 16 | Nery, et al. | 2017 | F | 85 | Left | Left | Convexity | Microcystic | GR |
| Present report | F | 42 | Right | Right | Convexity | Atypical | GR | ||
Abbreviations: (CSDH) Chronic Subdural Hematoma; (GR) Good Recovery; (MD) Moderate Disability; (n/a) Not Applicable; (SD) Severe Disability
Table 1: Summary of previously reported cases of meningioma associated with chronic subdural hematoma.
Patient Information
The patient is a 42 year old, non-hypertensive, non-diabetic, female, teacher from Manila, Philippines who presented with a 2 years history of intermittent, unilateral, non-throbbing, non-radiating headache relieved by rest. Until 5 days prior to admission, there was increasing frequency and severity of the headache now accompanied by nausea, vomiting, sensitivity to light and loud noise; no associated weakness, seizures nor loss of consciousness noted; she self-medicated with paracetamol and mefenamic acid, which did not afford relief of symptoms. On the 3rd day of symptoms, she sought consult at a local hospital in the Philippines, managed as a case of migraine-type headache, given Topiramate, Hydroxyzine, Flunnarizine and metoclopromide affording no relief of symptoms. On the 5th day, the family decided to bring her to another local hospital, where she was subsequently admitted and referred to neurosurgery with the primary consideration of a convexity meningioma coexistent with subdural hematomas of varying ages at the right frontotemporoparietal convexity as seen on the imaging result.
Clinical Findings
On admission, neurological examination revealed intact mental status and cranial nerve functions. Mini-mental status examination and MOCA-P showed normal results with a score of 28/30 and 30/30 respectively. On gross examination, there were no fasciculations, atrophy or hypertrophy of the muscles on all limbs. Motor examination showed no weakness on all extremities (5//5 motor strength, Medical Research Council). She was normo-reflexive (+2) on bilateral biceps, triceps, brachioradialis, knee and ankle jerk. No frontal release signs (such as palmomental sign, glabellar tap, rooting reflex, sucking reflex) nor parietal signs (such as apraxia, astereognosia, Right/left confusion, finger agnosia) were appreciated. Cerebellar examination was normal. No sensory deficits were elicited. Neither observable long tract signs nor meningeal signs were noted. Eastern Cooperative Oncology Group (ECOG) score and Karnofsky Performance Status score were 1 and 80%, respectively on admission and improved to 0 and 100% respectively upon discharge.
Diagnostic Assessment
Basic laboratory examinations including CBC, Sodium, Potassium, creatinine, coagulations studies (PT, aPTT), urinalysis, 12L ECG and Chest x-ray were done and all revealed unremarkable results. Having been unsuccessfully treated as a case of migraine type headache, a cranial MRI with gadolinium contrast done revealed a 4.1 × 2.8 × 3.8 cm heterogeneously enhancing right parietal extra axial mass along with crescentic subdural lesion at the right frontotemporoparietal area, measuring approximately 0.9 cm in widest diameter with a midline shift of 1.2 cm, associated with focal areas of necrosis, as well as intralesional blooming dark signals that likely represented blood products exhibiting mass effect and surrounding perilesional vasogenic edema (Figures 1 and 2).
Figure 1: (T1+C) Large, avidly enhancing extraaxial mass ms. 4.1 x 2.8 x 3.8 cm at the right parietal region. (Pre-operative MRI).
Figure 2: (GRE) crescentic extraaxial blooming dark subdural fluid collection signal at right frontotempo-parietal (Pre-operative MRI).
Intervention
Preoperatively, she was started on Mannitol 100 cc/IV q6 and Dexamethasone 5 mg/IV q6 to facilitate brain relaxation during the procedure. Prophylactic anticonvulsant, Levetiracetam 500 mg/tab 1tab q12, was likewise given. Operation done was right parietotemporal craniotomy for Simpson’s Type I excision of right parietal convexity meningioma and evacuation of subdural hematoma. Intraoperatively, approximately 4x3x2.7 cm soft to rubbery, multilobulated light to dark brown mass with dural measuring 4x3.8x0.1 cm was excised and evacuated roughly 30 cc of non-clotted blood. No vascular lesions such as aneurysms, arterio venous malformations or dural arterio venous fistulas seen during the procedure (Figure 3).
Figure 3: light brown-dark brown, multilobulated, soft to rubbery tissue ms. 4 x 3.3 x 2.7 cm and weighs 15 grams, with an attached dura ms. 4 x 3.8 x 0.1 cm.
Histopathological examination revealed atypical cells with round to ovoid nuclei and scanty cytoplasm admixed with spindle cells of varying sizes, mitotic activity of 3-9 per 10 high power field, in addition to a positive immunohistochemical staining for Epithelial Membrane Antigen (EMA) and Vimentin; characteristics consistent with Atypical Meningioma, WHO grade II (Figures 4 and 5). Eight weeks after gross total excision of tumor, she subsequently received Intensity Modulated Radiation Therapy (IMRT) with prescription dose of 180 cGy for 30 fractions with Planning Target Volume (PTV) 54 Gy.
Figure 4: H and E Stain (low magnification).
Figure 5: H and E Stain (high magnification). Atypical cells w/ round to ovoid nuclei (Green Arrow). Spindle Cells w/ scant cytoplasm (Yellow Arrow). Mitotic Activity of 3-9/high power field (Blue Arrow).
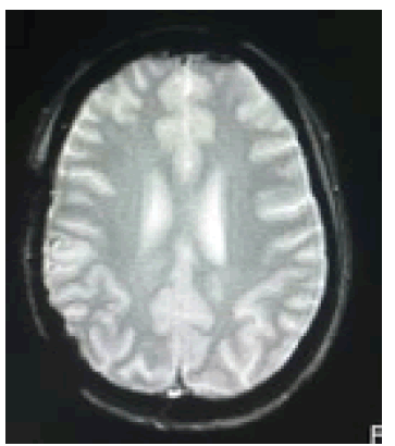
Cranial MRI with contrast was done pre and post-adjuvant radiotherapy, one month and seven months post-operation respectively. Results showed absence of previously demonstrated extra axial mass and chronic subdural blood at the right temporoparietal convexity with regression of the dural thickening (Figures 6 and 7). Post radiation therapy, the patient developed scalp dermatitis at the post-operative site, which was managed medically.
Figure 6: (T1+C) absence of previously noted right parietal mass (Post-operative MRI).
Figure 7: (GRE) absence of right subdural hematoma (Post-operative MRI).
Upon writing of this report, the patient is on Levetiracetam 500 mg/tabs 1 tab twice daily. A focal seizure episode was noted last June 2020 likely due to a missed dose of anticonvulsant however, no noted recurrences thereafter. She was advised repeat cranial MRI with gadolinium contrast one year post tumor surgery for surveillance.
The key points of this present case are as follows:
• Not all hemorrhagic intracranial brain tumors are malignant.
• Based on the reported literature above, hemorrhagic meningioma specifically of chronic subdural type is more commonly seen in the elderly age group greater than 60 years of age in 67% of cases, with a female predominance (2:1), convexity area in location (76.1%), and is usually seen ipsilateral to the tumor (80.9%).
• The more common meningioma histology with concomitant chronic subdural hematoma is seen in the benign type namely, Meningothelial, Transitional, Angiomatous and Microcystic (in decreasing order of frequency) rather than the aggressive, atypical type.
• 57% (11 out of 21) of patients who have meningioma with concurrent subdural hematoma had good functional outcome.
Patient Anonymity, Consent and Confidentiality
Written informed consent was obtained from the patient for writing and possible publication of this case report and the accompanying radiologic and histopathologic images. All personal information regarding the patient has been kept strictly confidential and patient identifiers such as name, location, date of birth, contact numbers, etc. have been removed from the manuscript and the presented illustrations. Patient’s anonymity and confidentiality is protected at all times by non-disclosure of any personal information that will identify the individual when the study is published or presented. A breach of confidentiality may occur if the information is used in any other way. The patient fully understood the content of the consent in English version. A copy of the written consent form was provided to the patient prior to the start of the study. She is aware that by participating in this case report, she authorized the principal investigator to have access to her personal medical records; the Research Ethics Committee (REC) will have access as well, for the purpose of verification prior to presentation of this case.
Ethical Considerations
This study is subjected to the University of Santo Tomas Hospital Research Ethics Committee (REC) for approval prior to study commencement, and will be modified according to the REC’s requirements and modifications. The informed consent was obtained via zoom teleconference between the patient and me as her attending physician together with her husband as witness. During the conference, several key points were discussed with the patient correspondent to the Philippine National Ethical Guidelines 2017 with following ethical principles/guidelines:
Beneficence
This study may not directly benefit the patient reviewed in this research but any information or conclusion that will be drawn in this study shall greatly benefit future patients with the same condition and/or possibly devise clinical practice guidelines that will standardize management requiring the same medical and/ or surgical intervention. This would aid the future neurosurgeon in their decision making, when presented with a patient who complains of migraine type of headache unrelieved by intake of analgesics.
Risks
The research study will not impose any risk to the subjects nor will it violate their rights as study participants. The main risk for the patient in this study would be a breach in confidentiality associated with the chart review. The proper implementation for confidentiality shall be discussed in the following paragraph. Although the risk is always present, the numerous benefits clearly outweigh the risk associated.
Privacy and Confidentiality of Information
The identity of patient in the study will be strictly safeguarded in accordance with the Republic Act 10173 known as the Data Privacy Act (2012). Data shall be obtained from reviewing patient’s chart from the University of Santo Tomas records section. Pictures shall be obtained from the Department of Radiology and Pathology after obtaining informed consent from the patient and approval of the hospital’s Data Privacy Officer. No other personal information will be disclosed in the event that the research study is published or presented.
These will then be stored safely in a locked cabinet located within Department of Surgery Staffroom. All data transcribed via computer shall be password protected. Only the primary investigator will have access to data of any kind from this study. Saving of electronic data to an external drive is restricted. Any printed/written files shall be dispensed via paper shredder and will be discarded to a secured bin once study has been completed.
No compensation, in monetary form or in kind, will be given to any personalities involved in this study nor will the researcher not receive any specific grants from any agency in the public, commercial or not for profit sector.
This study showed that benign intracranial tumors can also present with hemorrhage. Prompt investigation is warranted for medically intractable headaches.
There is no potential conflict of interest that could be perceived as prejudicing the impartiality of this research work.
None.
[Crossref] [Google Scholar] [PubMed]
[Crossref] [Google Scholar] [PubMed]
[Crossref] [Google Scholar] [PubMed]
[Crossref] [Google Scholar] [PubMed]
[Crossref] [Google Scholar] [PubMed]
[Crossref] [Google Scholar] [PubMed]
[Crossref] [Google Scholar] [PubMed]
[Crossref] [Google Scholar] [PubMed]
[Crossref] [Google Scholar] [PubMed]
[Crossref] [Google Scholar] [PubMed]
[Crossref] [Google Scholar] [PubMed]
[Crossref] [Google Scholar] [PubMed]
Citation: Ong-Lingan MC (2023) Atypical Meningioma with Chronic Subdural Hematoma: A Case Report. Neurooncol. 8:001.
Copyright: © 2023 Ong-Lingan MC. This is an open-access article distributed under the terms of the Creative Commons Attribution License, which permits unrestricted use, distribution, and reproduction in any medium, provided the original author and source are credited.